오목위팔관절(관절와상완관절, GH joint)
1) 특징
- 큰 위팔뼈머리의 볼록면과 얕은 어깨뼈 관절 오목의 오목면으로 형성
- 어깨뼈 관절오목의 관절면은 앞-가쪽 향하고 위팔뼈머리는 안-위쪽을 향해 서로 마주 보게 됨

2) 관절주위 결합조직과 구조
ㄱ. 섬유성 관절주머니(Fibrous capsular)
- 관절오목 테두리 ~ 위팔뼈의 해부목에 부착
- 관절주머니의 공간 용적은 위팔뼈머리 크기의 2배로 오목위팔관절의 가동성을 증가시킴
- 윤활막(synovial membrane) : 관절주머니 안을 지나가는 위팔두갈래근의 긴 힘줄과 나란히 놓임
- 겨드랑이주머니(액와낭, Axillary pouch) : 관절주머니의 느슨한 부분
ㄴ. 오목위팔관절주머니인대(상완관절낭인대, Glenohumeral capsular ligament)
- 관절주머니의 앞/아래 벽면의 바깥층에 존재
- 인대가 길어지거나 꼬여있어 오목위팔관절의 돌림 운동/병진 운동 끝 범위 제한
- 관절주머니 벽면을 강화시켜 관절 속 음압을 유지해 관절의 안정성을 증가
위오목위팔인대(상관절상완인대, Superior glenohumeral ligament)
- 오목위팔관절주머니인대의 위 섬유
- 어깨뼈 오목위결절 ~ 위팔뼈 작은 결절 위에 부착
- 위팔뼈의 가쪽돌림과 아래와 앞으로의 병진 운동에 저항
- 오목위팔관절이 35~45도 넘게 벌림 시 느슨해짐
중간오목위팔인대(중간관절상완인대, Middle glenohumeral ligament)
- 오목위팔관절주머니인대의 중간 섬유
- 어깨뼈 관절오목 앞 테두리 ~ 위팔뼈 해부목 앞면에 부착
- 대부분의 어깨움직임을 안정화시키는 장력 제공
- 위팔뼈 가쪽돌림시 팽팽하고 안쪽 돌림 시 느슨해짐
- 오목위팔관절이 45~90도 벌림 시 오목위팔관절의 앞쪽 억제를 제공
아래오목위팔인대(하관절상완인대, Inferior glenohumeral ligament)
- 오목위팔관절주머니인대의 아래 섬유
- 어깨뼈 관절오목 앞/아래 테두리 ~ 위팔뼈 해부목 앞/아래, 뒤/아래에 부착
- 오목위팔관절이 90도 벌림 시 가장 팽팽해짐
- 앞섬유 : 위팔뼈 가쪽 돌림 끝 범위에서 팽팽해지며, 위팔뼈머리의 앞쪽 병진 운동에 저항
- 뒤섬유 : 위팔뼈 안쪽 돌림 끝 범위에서 팽팽해짐
- 겨드랑이주머니(액와낭, axillary pouch) : 위팔뼈머리를 지지하고, 위팔뼈머리의 아래/앞, 위쪽 병진 운동에 저항
부리위팔인대(오훼상완인대, Coracohumeral ligament)
- 부리돌기 가쪽 모서리 ~ 위팔뼈 큰 결절에 부착
- 해부학적 위치에서 비교적 팽팽해짐
- 위팔뼈머리의 아래쪽 병진 운동과 가쪽 돌림 제한

ㄷ. 돌림근띠(회전근개, Rotator cuff muscle)
- 어깨밑근(견갑하근, subscapularis) : 가장 두꺼우며 관절주머니 바로 앞에 위치
- 가시위근(극상근, supraspinatus) : 관절주머니 위/뒤쪽에 위치
- 가시아래근(극하근, infraspinatus) : 관절주머니 위/뒤쪽에 위치
- 작은원근(소원근, teres minor) : 관절주머니 위/뒤쪽에 위치
- 동적 움직임 동안 오목위팔관절을 능동적으로 안정화하는 띠
- 관절주머니에 섞여 오목위팔관절의 역학적 안정성에 많은 영향을 줌
- 돌림근띠(회전근개)는 돌림근 간격/아래관절주머니는 감싸지 않음
ㄹ. 위팔두갈래근 긴 갈래(상완이두근 장두, Biceps brachii long head)
- 어깨뼈 오목위결절/오목테두리 ~ 위팔뼈 결절사이고랑으로 지나감
- 위팔뼈머리의 앞쪽 병진 운동 제한
- 위팔뼈머리 위로 힘줄이 지나가므로 위팔뼈머리의 위쪽 병진 운동도 제한
ㅁ. 오목테두리(관절와순, Glenoid labrum)
- 어깨뼈 관절오목 가장자리의 섬유연골성 융기
- 관절오목 깊이의 50% 이상 제공
- 관절오목의 오목함을 깊게 만들어 위팔뼈머리의 접촉면적을 증가시켜 오목위팔관절 안정성 증가

3) 오목위팔관절의 정적 안정성에 대한 어깨/가슴의 자세
ㄱ. 정적 안정성
- 휴식 시 팔을 편안히 늘어뜨린 채 서 있을 때, 위팔뼈머리가 관절 오목에 대해 안정된 상태
ㄴ. 정적 안정성의 수동적 기전
- 정적 상태에서 관절주머니 위쪽 구조들(위관절주머니인대, 부리위팔인대, 가시위근 힘줄)이 일차적 인대성 지지를 제공
- 잠김압박력 : 관절주머니 위쪽 구조들의 합력 벡터와 중력에 의한 힘 벡터가 관절 오목에 직각으로 압박력 생성해 위팔뼈머리가 관절 오목에 딱 붙게 만들어줌
- 잠김압박력은 어깨뼈 관절 오목이 약간 위쪽 돌림 되어있을 때(정상상태) 발생하며, 나쁜 자세나 병리적 상태에 의해 어깨뼈 관절 오목이 아래쪽 돌림 되면 잠김 압박력이 감소해 위팔뼈머리의 탈구 유발

ㄷ. 정적 안정성의 근육 기전
- 팔에 견인부하가 작용할 때 오목위팔관절에 안정성 제공
- 돌림근띠(회전근개) 근육에 의해 제공됨
- 돌림근띠의 등척성 활동은 잠김 압박력과 평행한 힘을 발생시켜 위팔뼈머리를 관절 오목에 고정
4) 부리봉우리활(오훼견봉궁, Coracoacromial arch)과 윤활 주머니
ㄱ. 부리봉우리활(오훼견봉궁, Coracoacromial arch)
- 부리봉우리인대와 어깨뼈 봉우리 돌기에 의해 형성
- 오목위팔관절의 기능적 지붕 역할을 함
ㄴ. 봉우리밑 공간(견봉하공간, Subacromial space)
- 부리봉우리활과 위팔뼈머리 사이의 공간
- 봉우리밑 공간에 가시위근, 봉우리밑주머니, 위팔두갈래근 긴 갈래, 위관절주머니 일부 존재
- 해부학적 위치에서 보통 1cm
ㄷ. 봉우리밑주머니(견봉하낭, Subacromial bursa)
- 가시위근 위쪽과 봉우리 돌기 아래의 봉우리밑 공간에 위치한 윤활 주머니
- 봉우리의 단단한 밑면으로부터 가시위근 보호
ㄹ. 어깨세모근밑주머니(삼각근하낭, Subdeltoid bursa)
- 봉우리밑주머니의 가쪽 확장 부위
- 어깨 세모근, 가시위근 힘줄, 위팔뼈머리 사이의 마찰력 줄임

오목위팔관절(관절와상완관절, GH joint)의 운동 형상학
1) 어깨 벌림/모음
- 볼록한 위팔뼈머리가 오목한 어깨뼈 관절 오목에 대해 위쪽으로 구르기 + 아래로 미끄러짐으로 발생
- 오목위팔관절에서 120도 + 어깨가슴관절에서 60도 = 총 벌림 180도
- 벌림 시 위관절주머니와 섞인 가시위근 힘줄이 위관절주머니를 팽팽하게 만들어 봉우리밑 공간에 끼이는 것 방지하고 관절의 동적안정성 증가
- 90도 벌림시 위팔뼈머리가 겨드랑이 주머니를 신장시켜 아래관절주머니와 함께 위팔뼈머리를 지지

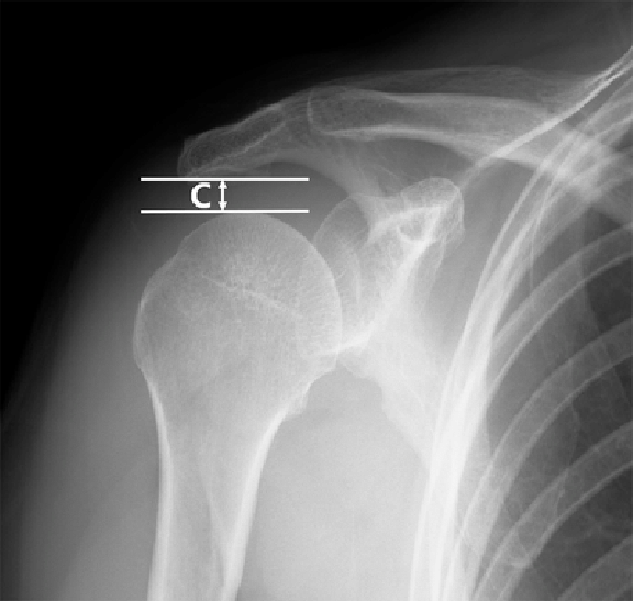
ㄱ. 봉우리위팔거리(AHD)
- 봉우리 밑면과 몸 쪽 위팔뼈 사이의 거리
- 20도 벌림 시 : 위팔뼈머리가 봉우리 밑면에 가장 가까이 위치(7.5mm)
- 85도 벌림 시 : 가시위근 먼쪽 부착부위가 봉우리 밑면에 가장 가까이 위치(2.6mm)
- 150도 벌림 시 : 몸 쪽 위팔뼈몸통이 봉우리 밑면에 가장 가까이 위치(5mm)
- 벌림 시 봉우리밑 공간 높이가 너무 좁으면 봉우리밑 공간에 있는 구조가 끼여 통증 발생

2) 어깨 굽힘
- 어깨뼈 관절 오목에 대한 위팔뼈머리의 스핀으로 발생
- 위팔뼈머리 스핀은 오목위팔관절의 대부분 구조를 팽팽히 만듦
- 신장된 뒤관절주머니의 장력은 어깨 굽힘의 끝 범위에서 위팔뼈를 약간 앞쪽 병진 운동시킴
- 오목위팔관절에서 120도 + 어깨가슴관절에서 60도 = 총 굽힘 180도
3) 어깨 폄
- 어깨뼈 관절 오목에 대한 위팔뼈머리의 스핀으로 발생하며 굽힘과 반대로 작용
- 65도의 능동적 어깨 폄과 80도의 수동적 어깨 폄 가능
- 수동적 어깨 폄시 관절주머니인대를 신장시켜 어깨뼈의 앞 기울임을 유발해 뒤로 손 뻗기 가능

4) 팔 가쪽 돌림
- 볼록한 위팔뼈머리가 오목한 어깨뼈 관절 오목에 대해 뒤쪽 구르기 + 앞쪽 미끄러짐으로 발생
- 어깨 모음 된 위치에서 가쪽 돌림 60~70도 가능
- 90도 벌림 시 가쪽돌림 90도 가능
5) 팔 안쪽 돌림
- 볼록한 위팔뼈머리가 오목한 어깨뼈 관절 오목에 대해 앞쪽 구르기 + 뒤쪽 미끄러짐으로 발생
- 어깨 모음 된 위치에서 안쪽 돌림 75~85도 가능

※ 정리 문제
1. 오목위팔관절(관절와상완관절)이란?
2. 오목위팔관절에서 오목 테두리의 역할은?
3. 돌림근띠(회전근개) 근육이란?
4. 오목위팔관절의 정적 안정성에 대해 설명하라
5. 봉우리밑공간은?
6. 오목위팔관절의 운동 형상학에 대해 설명하라
답↓
1. 오목위팔관절은 볼록한 위팔뼈머리와 오목한 어깨뼈 관절오목으로 형성된 관절
2. 오목위팔관절은 위팔뼈머리가 관절 오목에 비해 매우 큰데, 오목 테두리에 의해 위팔뼈머리의 접촉면적이 넓어져 관절이 안정화된다.
3. 돌림근띠란 가시위근, 가시아래근, 어깨밑근, 작은 원근을 부르는 말로 오목위팔관절을 보강하고 동적인 안정성을 제공함
4. 관절 주머니 위쪽구조들(위관절주머니인대, 부리위팔인대, 가시위근의 힘줄)에 의해 일차적인 정적 안정성을 가지며, 관절주머니 위쪽 구조들의 힘과 중력의 힘의 합력으로 위팔뼈머리가 관절오목쪽으로 압박되며, 돌림근띠의 등척성 활동으로 안정화된다.
5. 봉우리밑공간은 봉우리와 부리봉우리인대로 이루어진 부리봉우리활과 위팔뼈머리 사이 공간으로 가시위근 힘줄, 봉우리밑주머니, 위팔두갈래근 긴 갈래, 위관절주머니 일부가 존재한다.
6. 오목위팔관절에서 벌림은 볼록한 위팔뼈머리가 오목한 관절 오목에 대해 위쪽 구르기 + 아래 미끄러짐으로 발생하며 모음은 벌림과 반대로 작용하고,
굽힘은 볼록한 위팔뼈머리가 오목한 관절오목에 대해 스핀으로 발생, 폄은 굽힘과 반대로 작용,
가쪽 돌림은 볼록한 위팔뼈머리가 오목한 관절 오목에 대해 뒤로 구르기 + 앞쪽 미끄러짐으로 발생하며 안쪽 돌림은 반대로 작용
★ 참고 자료
2020/02/17 - [기능해부학/운동학(Kinesiology)] - 기능해부학의 개요
기능해부학의 개요
해부학적 자세 - 양발을 붙이고 정면을 바라보고 선 자세에서 양팔은 옆구리에 붙이고 손바닥이 앞으로 향하도록 한 자세 - 인체의 기준이 되는 자세 해부학적 자세 관련된 용어 - 상위부(Superior) : 기준점의..
physicalman.tistory.com
2020/02/18 - [기능해부학/운동학(Kinesiology)] - 운동형상학
운동형상학
운동 형상학 운동을 만들어내는 힘, 토크 고려하지 않고 인체의 운동만을 서술하는 역학 1) 병진 운동(Translation) - 신체의 모든 부분들이 같은 방향으로 평행하게 움직이는 선형 운동 - 직선, 곡선의 방법으로..
physicalman.tistory.com
2020/03/19 - [기능해부학/어깨복합체(Shoulder complex)] - 어깨가슴관절(견흉관절, ST joint)의 관절학
어깨가슴관절(견흉관절, ST joint)의 관절학
어깨가슴관절(견흉관절, STjoint) 1) 특징 - 어깨가슴관절은 진짜 관절이 아니라 어깨뼈 앞면과 가슴의 뒤-가쪽 사이의 접촉부위 - 접촉부위는 직접 접촉이 아니라 어깨밑근(견갑하근), 앞톱니근(전거근), 척추세..
physicalman.tistory.com
'기능해부학 > 어깨복합체(Shoulder complex)' 카테고리의 다른 글
| 어깨가슴관절(견흉관절, ST joint)의 근육 (3) | 2020.03.23 |
|---|---|
| 어깨복합체의 6가지 운동형상학적 원리 (8) | 2020.03.21 |
| 어깨가슴관절(견흉관절, ST joint)의 관절학 (2) | 2020.03.19 |
| 봉우리빗장관절(견쇄관절, AC joint)의 관절학 (0) | 2020.03.18 |
| 복장빗장관절(흉쇄관절, SC joint)의 관절학 (0) | 2020.03.17 |